Ca bệnh 90% tử vong, bác sĩ nói “còn nước còn tát”

Chiều 11-10, Bệnh viện Đa khoa Quốc tế S.I.S Cần Thơ (S.I.S Cần Thơ) cho hay vừa cứu sống ca bệnh bị xuất huyết não nguy kịch, hôn mê sâu, tiên lượng tử vong lên đến 90%.

Bệnh nhân là bà T.T.S (55 tuổi, quê Đồng Tháp), được đưa đến bệnh viện trong tình trạng hôn mê sâu, nguy kịch.

Theo người nhà, sau khi bị khởi phát triệu chứng đột quỵ, bà S. được chuyển đến bệnh viện gần nhà trong tình trạng rất nặng, tiên lượng tử vong rất cao. Tuy nhiên, gia đình vẫn không buông xuôi, chuyển đến S.I.S Cần Thơ với hy vọng “còn nước còn tát”.

Ca bệnh 90% tử vong, bác sĩ nói còn nước còn tát - Ảnh 1.

Bệnh nhân có diễn tiến tích cực, có dấu hiệu mở mắt… sau can thiệp

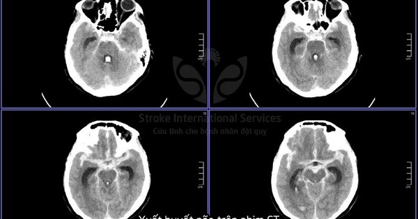
Tại S.I.S Cần Thơ, bà S. được đưa lên phòng DSA để can thiệp khẩn do vỡ phình mạch máu não. BSCKII Nguyễn Lưu Giang, Trưởng đơn vị can thiệp DSA S.I.S Cần Thơ, cho biết bệnh nhân vào viện với tình trạng hôn mê sâu, xuất huyết não nặng do vỡ phình dị dạng mạch máu não.

Sau can thiệp, bệnh nhân đã được tiếp tục mỗ dẫn lưu máu chảy ra ngoài. Hiện bệnh nhân vẫn đang được điều trị tích cực tại khu hồi sức tích cực (ICU), diễn tiến tích cực, có dấu hiệu mở mắt…

“Bà S. bị xuất huyết khoang dưới nhện, nếu không kịp thời cấp cứu khả năng tử vong lên đến hơn 90%. May mắn bệnh nhân đến còn trong “thời gian vàng” nên khả năng hồi phục khả quan”-BS Giang thông tin thêm.

Gần đây, S.I.S Cần Thơ tiếp nhận nhiều trường hợp xuất huyết não, nguyên nhân liên quan đến việc chưa kiểm soát tốt các bệnh nền như tim mạch, tăng huyết áp.


NGUYỄN THẠNH