Skip to content
Nhịp cầu kinh doanhNhịp cầu kinh doanh
  • Menu
  • Tin tức
    • Quốc tế
    • Thời sự
  • Nhịp cầu kinh doanh
    • Thị trường
    • Câu chuyện kinh doanh
    • Bảo vệ người tiêu dùng
  • Kinh tế
    • Khởi nghiệp
    • Kinh doanh
    • Tài chính
    • Thương trường
  • Công nghệ
    • Công nghệ thông tin
    • Thế giới số
  • Bất động sản
    • Dự án
    • Không gian sống
    • Thị trường
  • Văn hóa
    • Du lịch – Ẩm thực
    • Đẹp
    • Giải trí
  • Giáo dục
    • Học bổng – Du học
    • Học đường
    • Tuyển sinh
  • Sức khỏe
    • Dinh dưỡng
    • Khỏe đẹp
    • Bác sỹ gia đình
  • Đời sống
    • Nhân ái
    • Pháp luật
    • Tin tức 24g
    • Văn bản pháp luật
  • Thị trường
    • Bảo vệ người tiêu dùng
    • Câu chuyện kinh doanh
    • Làm giàu
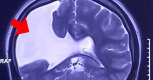
Người phụ nữ gần 30 năm sống chung với nứt não

Tối 10-11, Bệnh viện Đa khoa Tâm Anh TP HCM cho hay vừa mổ sọ[...]

11
Th11
Đang khỏe mạnh, nam nhân viên bảo trì bỗng liệt nửa dưới người, ngồi xe lăn

Tối 9-11, TS-BS Trần Chí Cường, Giám đốc Bệnh viện Đa khoa Quốc tế S.I.S[...]

11
Th11
Người đàn ông mắc bệnh hiểm với thói quen xấu thường gặp
Bệnh viện Xuyên Á triển khai kỹ thuật mới kích thích từ trường xuyên sọ
Lầm tưởng về thực phẩm gây nóng trong người
Vụ câu cá gần bãi tắm Long Cung bị điện giật: 3 nạn nhân tiên lượng nặng

Chiều 6-11, Bệnh viện Chợ Rẫy (TP HCM) thông tin về tình trạng sức khỏe đối 3 trường hợp bị phỏng điện toàn thân khi đang câu cá gần đường dây điện trung thế xảy ra ở tỉnh Bà Rịa-Vũng Tàu (Báo Người Lao Động[...]

11
Th11
Lỗ rò xì bất thường trên người đàn ông 30 năm hút thuốc lá

Trưa 3-11, Bệnh viện Đa khoa Tâm Anh (TP HCM) cho hay vừa nội soi vá lại lỗ thủng phổi cho ông T.H (57 tuổi) bị biến chứng sau 30 năm hút thuốc lá. Lúc đầu, ông H. hút vài điếu mỗi ngày, sau đó[...]

11
Th11
Bệnh viện Nhân dân Gia Định đạt “chứng nhận bạc” điều trị suy tim quốc tế

Chiều 2-11, Bệnh viện Nhân dân Gia Định (TP HCM) cho biết vừa được Hiệp hội Tim mạch Hoa Kỳ (AHA) trao “Chứng nhận bạc” về điều trị suy tim. Đây cũng là bệnh viện đầu tiên ở khu vực phía Nam và TP HCM[...]

11
Th11
Tắt kịp 5 “quả bom” ẩn trong đầu người phụ nữ

Bệnh viện Đa khoa quốc tế S.I.S Cần Thơ (Bệnh viện S.I.S Cần Thơ) tối 26-10 cho hay vừa can thiệp kịp thời cứu một phụ nữ thoát đột quỵ do 5 túi phình mạch máu não chèn ép. Bệnh nhân là bà L.M.G.T (62[...]

11
Th11
6 dấu hiệu cảnh báo ung thư gan nhiều người bỏ sót

Tờ Daily Mail đã tổng hợp 6 dấu hiệu có thể là lời cảnh báo cho sự xuất hiện của khối u trong bệnh ung thư gan, theo khuyến cáo của các tổ chức y tế hàng đầu như Cơ quan Nghiên cứu ung thư[...]

11
Th11
  • 1
  • 2
  • 3
  • 4
  • 5
  • 6
Báo động tỉ lệ sử dụng thuốc lá điện tử ở giới trẻ
Hiểu đúng về tác hại của thuốc lá
“Bệnh thời đại” ngày càng nhiều ở người trẻ
Khi người già chăm lên mạng
Đột quỵ ngay trước mặt bác sĩ
  • Da mịn chào hè cùng bộ đôi máy triệt lông lạnh công nghệ Hàn Quốc từ LocknLock
  • Từ “ông lớn” gia dụng toàn cầu đến thương hiệu đổi mới phong cách sống, LocknLock mở rộng lĩnh vực thiết bị làm đẹp và chăm sóc cá nhân
  • Nội đô Hà Nội ngày càng “nghẹt thở” – Viha Flora được săn tìm nhờ yếu tố sinh thái hiếm có
  • 3 siêu tàu vượt Hormuz: Dòng dầu khổng lồ quay lại Đông Nam Á
  • BigTreeX – Kiến tạo dòng tiền bằng sức mạnh của câu chuyện tài chính

PHỤ TRÁCH NỘI DUNG

Phụ trách nội dung: Diệp Anh
Giấy phép số: 03/GP-STTTT do Sở Thông tin và Truyền thông TP.HCM cấp ngày 31 tháng 01 năm 2020.

LIÊN HỆ QUẢNG CÁO

dia-chi

Số 21A Cư xá Phú Lâm B, P.13, Q.6, HCM

dien-thoai

Hotline: 0817 286 256

email

bientappr@gmail.com

ĐĂNG KÝ NHẬN TIN



    Copyright 2026 © by nhipcaukinhdoanh.vn
    • Tin tức
      • Quốc tế
      • Thời sự
    • Nhịp cầu kinh doanh
      • Thị trường
      • Câu chuyện kinh doanh
      • Bảo vệ người tiêu dùng
    • Kinh tế
      • Khởi nghiệp
      • Kinh doanh
      • Tài chính
      • Thương trường
    • Công nghệ
      • Công nghệ thông tin
      • Thế giới số
    • Bất động sản
      • Dự án
      • Không gian sống
      • Thị trường
    • Văn hóa
      • Du lịch – Ẩm thực
      • Đẹp
      • Giải trí
    • Giáo dục
      • Học bổng – Du học
      • Học đường
      • Tuyển sinh
    • Sức khỏe
      • Dinh dưỡng
      • Khỏe đẹp
      • Bác sỹ gia đình
    • Đời sống
      • Nhân ái
      • Pháp luật
      • Tin tức 24g
      • Văn bản pháp luật
    • Thị trường
      • Bảo vệ người tiêu dùng
      • Câu chuyện kinh doanh
      • Làm giàu